55岁男子经常耳鸣, 确诊脑肿瘤晚期! 医生: 有3个不适咋不重视?

临近春节,年味渐浓,人们忙着置办年货、张罗团聚,忽略了不少身体发出的“求救信号”。就在这个节骨眼上,某地一位55岁男子因持续耳鸣求诊,结果被确诊为脑肿瘤晚期。
医生摇头感叹:如果早点重视,就不是这个结局了。你是否也有过耳鸣、头晕、视物模糊等“小毛病”?是不是总觉得“忍忍就过”?那么这个故事,值得你认真看完。

谁能想到,一个看似再普通不过的耳鸣,竟成了一个家庭命运的转折点?脑肿瘤真的会“悄无声息”地逼近吗?我们常说“早发现、早治疗”,可为何总有错过的遗憾?今天,我们就从这个真实案例出发,揭开隐藏在“小症状”背后的大隐患,告诉你:身体的异常,从不该轻视。
春节前后,正值气温波动、生活节奏紊乱之时,是脑血管和神经系统疾病的高发期。尤其在北方地区,供暖干燥、昼夜温差大,加之熬夜、饮食油腻等节日习惯,使得中老年人更容易出现脑部供血不足、神经压迫等问题。耳鸣、头晕、走路不稳等症状,如果频繁出现,就应引起重视。
但现实中,大多数人对这类“软性”症状往往掉以轻心。就像这位55岁的男子,最初只是觉得耳朵嗡嗡响,还以为是“上火”或“有点感冒”,自行买了些清热药、甚至滴耳液,结果症状越拖越重——直到出现一侧听力下降、走路偏斜,才意识不妙。

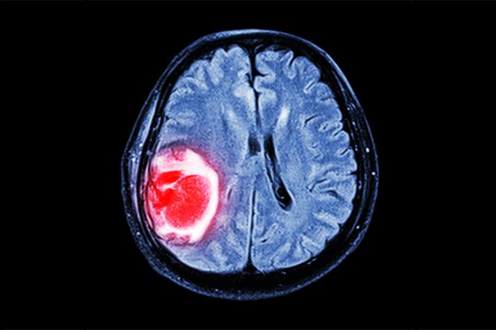
检查结果让人震惊:颅内肿瘤,已压迫听神经,且病情进入晚期。
从医学角度来看,耳鸣并非单一疾病,而是一个“提示信号”,其本质是听觉系统受到异常刺激所致。
临床上,除了耳部疾病本身(如中耳炎、耳硬化症等),脑部病变,尤其是听神经瘤、脑膜瘤、颅内高压等,都可能以耳鸣为“首发症状”。长期单侧耳鸣、伴有听力下降、眩晕、头痛,更应高度警惕。
很多人没意识到,脑瘤早期可以没有明显疼痛,但会通过“功能受损”发出信号。比如听神经瘤,往往从单侧耳鸣、听力下降开始,随着肿瘤长大压迫周围脑组织,逐渐出现面部麻木、走路不稳、视物模糊等症状。如果此时仍未就医,就有可能错过最佳干预期。

中医认为,“耳为肾之窍”,耳鸣多与肾虚、肝火、痰湿等因素有关。特别是中老年人肾气渐衰,若再加之劳累、情绪波动、饮食失衡,更容易引发耳鸣。
中医调理耳鸣常从补肾安神、清肝泻火入手,如熟地黄、枸杞子、磁石等常用于调方。但中医也强调辨证施治,切忌盲目进补,应结合西医检查,明确病因。
那么,我们到底该如何判断耳鸣是不是危险信号?临床上有一个简单的“三不适”自检提示,值得记住:耳鸣伴听力下降、耳鸣伴头晕、耳鸣伴面部麻木。这三类症状出现时,不能再“忍一忍”,而应尽快前往医院做影像学检查(如MRI、CT),以排除颅内病变。
除了耳鸣,脑肿瘤还可能以头痛为表现。尤其是清晨醒来头痛加重、伴呕吐、蹲下或咳嗽时加剧,提示颅内压升高。此类头痛不同于普通紧张性头痛,往往“钝重、持续”,不易缓解。如果再合并视力模糊、眼球突出、性格改变等变化,更要警惕脑部受压。

我们常说“身体是讲逻辑的”,当它反复提醒你“哪里不对劲”,就不要忽视它的语言。比如走路不稳、突然摔倒、言语不清等,很多人误以为是“老花了”“岁数大了”,但从神经科角度看,这些恰恰可能是小脑、脑干受压的表现,背后可能隐藏脑瘤、脑萎缩等更严重问题。
针对中老年人群,建议每年进行一次脑部影像检查,尤其是有耳鸣、头晕、听力下降等既往病史者。如今高分辨率MRI技术已非常成熟,可在无创前提下清晰观察颅内结构,及时发现早期病变。此外,血压、血脂、血糖管理也间接影响脑部健康,日常不容忽视。
节日临近,更应提醒家中长辈注意生活规律。少熬夜、清淡饮食、适度运动,都是对大脑的保护。中医讲究“顺时养生”,当前正值“冬藏”阶段,应注重养肾护脑、避免劳神。可适当使用八段锦、冥想、艾灸足三里等中医调养方法,增强抗病能力。

值得一提的是,耳鸣本身并不可怕,关键在于识别“背后的病因”。若能做到“早识别、早干预”,即使发现脑瘤,很多也仍有治疗希望。目前神经外科手术、放疗、化疗、靶向治疗等手段已较成熟,部分良性肿瘤如听神经瘤,早期发现甚至可通过“观察等待”或微创手术保留功能。
从医生角度看,最令人惋惜的,往往不是病本身,而是“没能及时发现”。很多患者直到严重症状才就诊,错过了最佳治疗期,才让疾病变成“命运的转折”。而这背后,暴露的是对健康信号的忽视、对疾病知识的缺乏。
所以,我们写下这篇文章,不是为了恐吓谁,而是想告诉大家:耳鸣不是小事,尤其是中老年阶段,它可能是一种“求救信号”。当你或身边人反复出现耳鸣、头晕、视力异常等问题时,请不要再用“没事”“扛一扛”来敷衍。

健康的意识,才是最好的“防癌体检”。身体从来不会突然“坏掉”,它总会通过种种方式告诉你:我需要关注了。愿你在这个新年,不仅张罗团圆饭、置办新衣裳,更能为自己安排一个全面的健康检查。
因为,身体的每一次异常,都是在提醒你:别忽视我。
声明:文中分享的健康知识均源自权威医学资料与专业领域共识,为便于理解部分场景和故事情节进行了虚构加工。本文仅为健康科普分享,不涉及任何医疗指导、诊断建议或用药推荐。内容仅供参考,如果您身体出现不适,请一定要找专业医生咨询。
参考文献:
1. 国家卫生健康委员会.《脑肿瘤规范化诊疗指南(2023年版)》[S]. 北京: 人民卫生出版社, 2023.
2. 王维治主编.《神经病学》第9版[M]. 北京: 人民卫生出版社, 2022.
3. 中国中医药出版社.《中医内科学》[M]. 北京: 中国中医药出版社, 2021.
热点资讯
- 2025-12-01DRG/DIP概念下跌1.31%,8股主力资金
- 2025-11-19库尼亚: 为曼联效力是梦想成真
- 2026-02-1455岁男子经常耳鸣, 确诊脑肿瘤晚
- 2025-05-21“茶说:少管少说,就是福”
- 2025-06-24【听雨】大乐透25070期后区走势分
- 2025-09-08【剧】《饥荒年我靠系统养崽》

